menu
close

当院の症例

凸凹と口元下げたい(治療期間:1年10か月現在も治療中/通院24回)

前歯の凸凹・出っ歯・裏側(リンガル)矯正

Before

叢生改善・出っ歯改善・裏側(リンガル)矯正

After

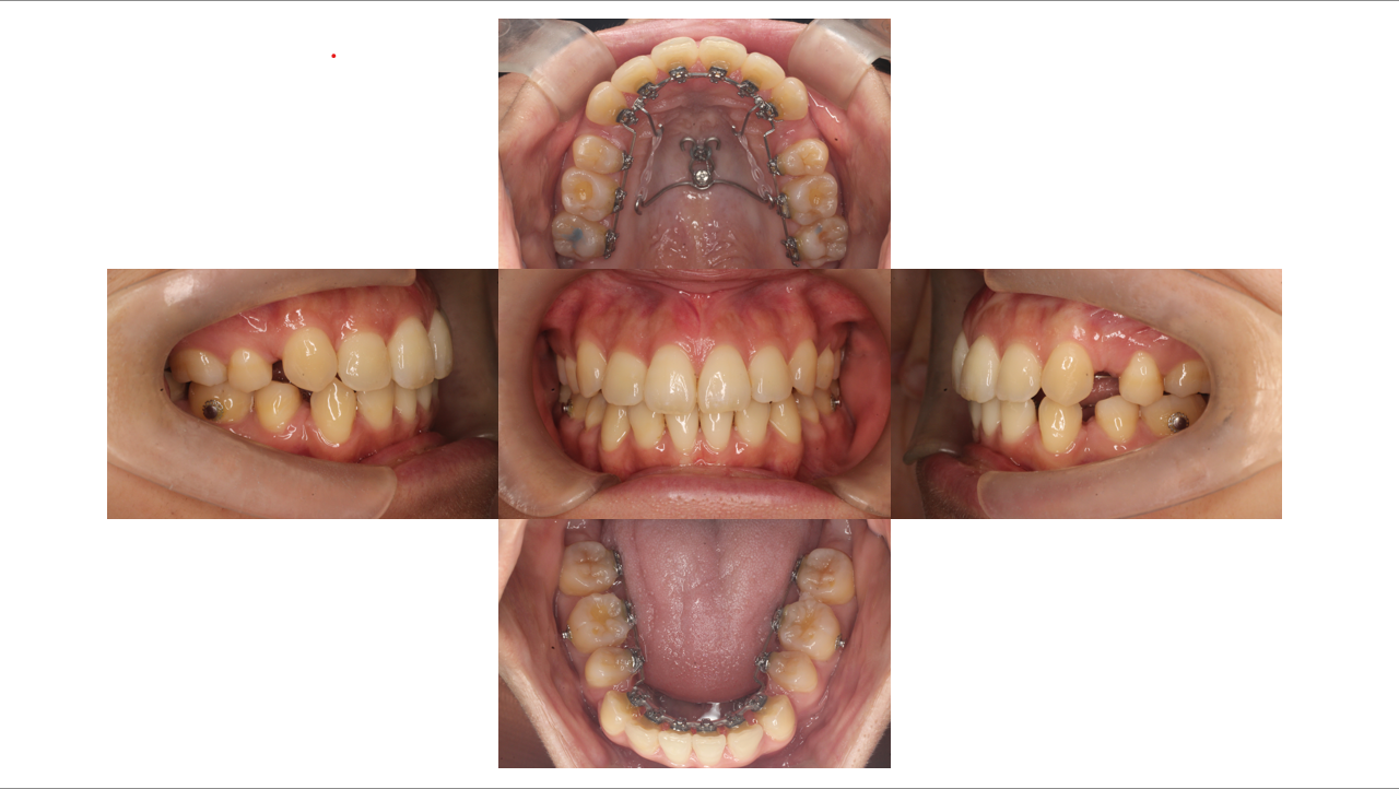
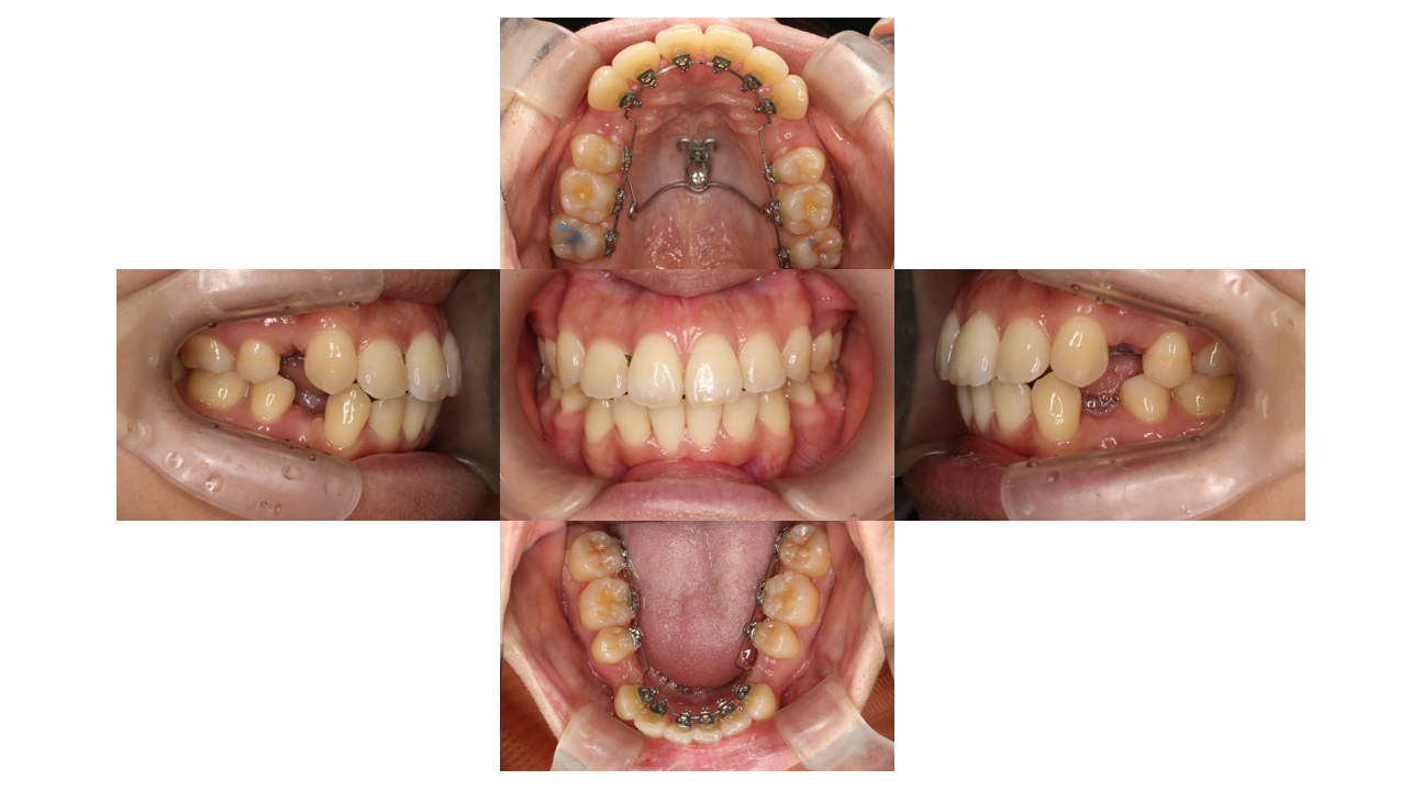
装置装着後

叢生・出っ歯症例

 

 

装着を装着しました。
奥歯にバイトアップを装着することで、装置が外れにくくしています。

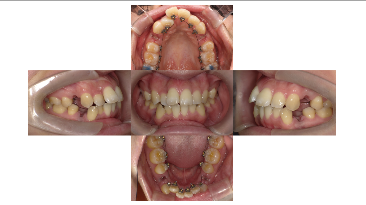
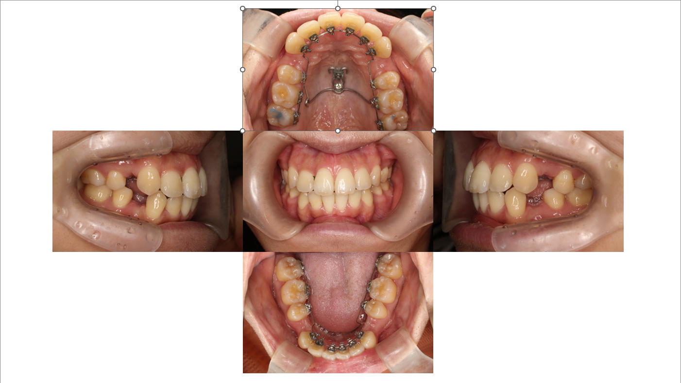
6か月経過

叢生、出っ歯

 

半年が経過すると初診時気になっていた前歯の凸凹はもう残っていません。
角度のついていた前歯も真っ直ぐになってきています。

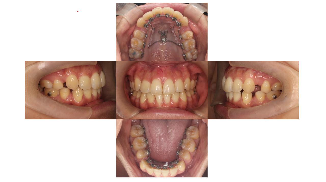
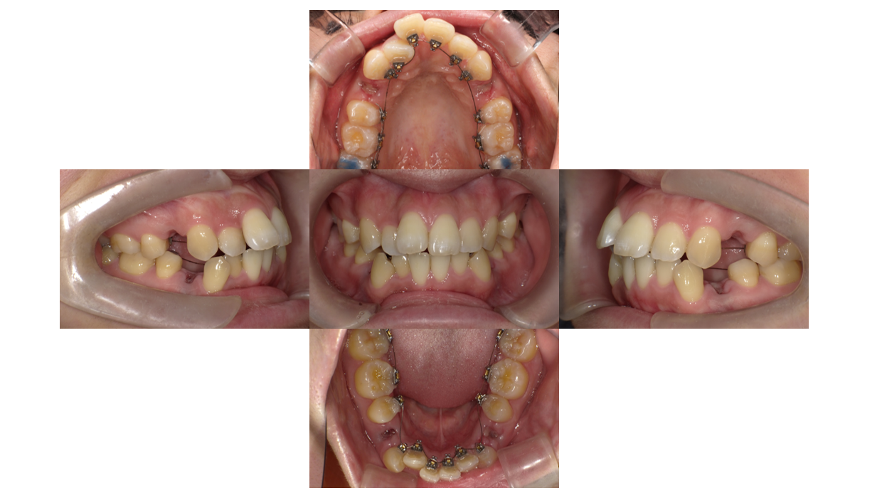
1年

叢生・出っ歯症例

凸凹が取れた後は、目に見えて大きな変化は少なくなってきますが、微調整を行いながら前歯の位置を後ろに下げていきます。
矯正中の方は凸凹が取れてから、大きな変化が少ないので精神的に大変になってくる方が多いです。
少しづつでも最終的な仕上がりに向かって歯は必ず動いているので安心してください。

 

 

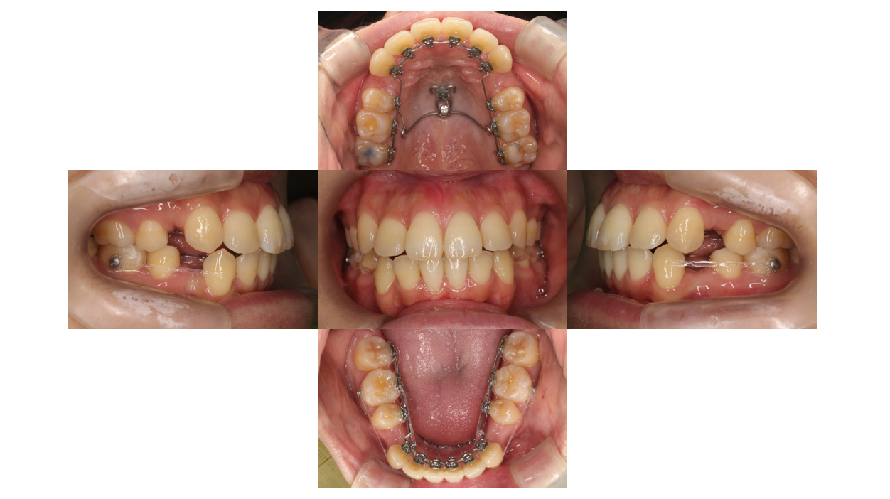
1年10か月

凸凹、出っ歯

前歯の位置もとても下がってきました。
抜歯の隙間がかなり小さくなってきました。
あと少し頑張っていきましょう。

 

 

年齢層 20代
性別
主訴 口元の突出感、叢生
治療費用 1,375,000円(治療開始時の価格)
治療期間 1年11か月
抜歯 上下左右4番目の歯
矯正の装置 裏側矯正(リンガル矯正)
副作用、リスク 知覚過敏 ・疼痛 ・咬合痛 ・体質により金属アレルギーの発症 ・歯肉退縮 ・歯根吸収 ・ブラックトライアングル(歯と歯の間の隙間) ・歯磨きがうまく出来ない場合、むし歯や歯肉炎が進行 ・保定が不十分の場合、後戻りの可能性 ・発音への影響